
A puppy called Toffee has been saved by vets after ingesting a large face mask prompting a warning for dog owners to be vigilant.
Staff at the Blue Cross charity’s animal hospital in London removed the cloth mask from the 11-month-old Cavalier King Charles Spaniel’s stomach during emergency surgery.
The pet’s upset stomach was initially thought to be the result of a change in diet but a week later, his owner, Jess Busby, realised his health was deteriorating.
Ms Busby said: “Toffee was just really lethargic and had lost weight – you could see the bones in his back – and suddenly his whole demeanour just changed, and he vomited.”
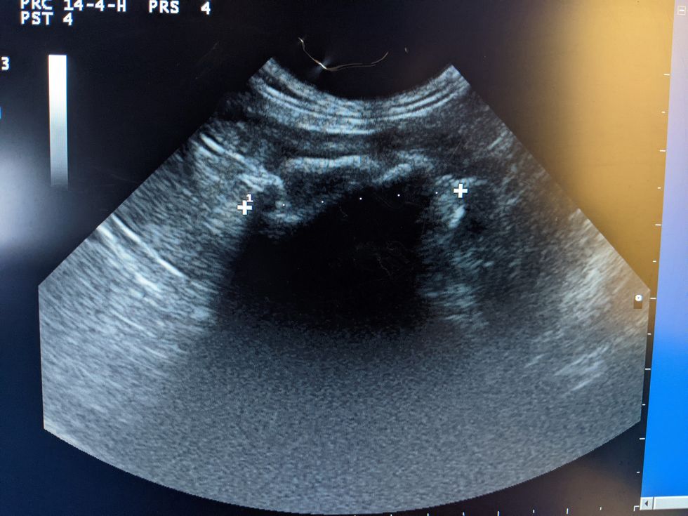
Blue Cross staff told her to take Toffee into their animal hospital in Victoria immediately, where he was put on a drip. An ultrasound scan confirmed a large object stuck in his stomach.
It was only when senior vet Roisin Bolger operated on the dog that she discovered what the object was.
Ms Bolger said: “Toffee was really lucky to be brought into us when he was because blockages of the stomach and intestines like this are life-threatening.”
Ms Busby said she was “shocked” when she found out the cause of the problem, adding: “We still don’t know where he got hold of the mask.
“He’s so tiny we wouldn’t have thought he’d be able to swallow something like that!”
It is thought the face mask was inside Toffee’s stomach for two weeks.
Since his operation, Ms Busby said Toffee is “running around as if nothing happened and is back to his old self”.
She added: “It’s really great to see, and my children are so glad to have him back home. We really can’t thank Blue Cross enough for their care and for saving Toffee’s life.”
Ms Bolger said: “We’d urge dog owners to be vigilant around the home and when out and about on walks, especially those with young puppies and kittens.
“If you think your pet has eaten something it shouldn’t, or you are concerned about repeated vomiting, then always contact your vet for advice.”















