Science & Tech
Dina Rickman
Jan 13, 2015

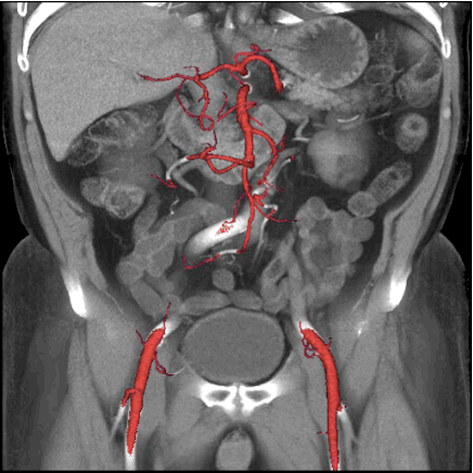
These slightly gruesome gifs are all from the world's first "superfast" Revolution CT scanner, which is currently at Florida's West Kendall Baptist hospital.
The CT scanner (which is basically just a big X-ray machine which lets doctors see what is going on in your body) allows doctors to obtain clearer images of patients' organs in action.
West Kendall Baptist hospital is currently trialling the technology and while it is not yet known if it will save lives, it definitely produces incredible gifs - as these highlighted by GE show. Here is a selection of the images obtained by the machine.
The skull and the Circle of Willis.
An image of the human heart with stents.
A foot reinforced with screws.Image source: GE
More: These X-ray gifs are easily the coolest thing you will see all day
Top 100
The Conversation (0)


















