Becca Monaghan
Jun 30, 2022
Botched TikTok egg hack leaves woman with 'poached' face
New York Post
A man with a rare condition has been left with a "whistling scrotum" following surgery.
The unnamed man, 72, from Ohio, sought medical advice after experiencing a swollen face, shortness of breath and his prime concern, a “whistling scrotum.”
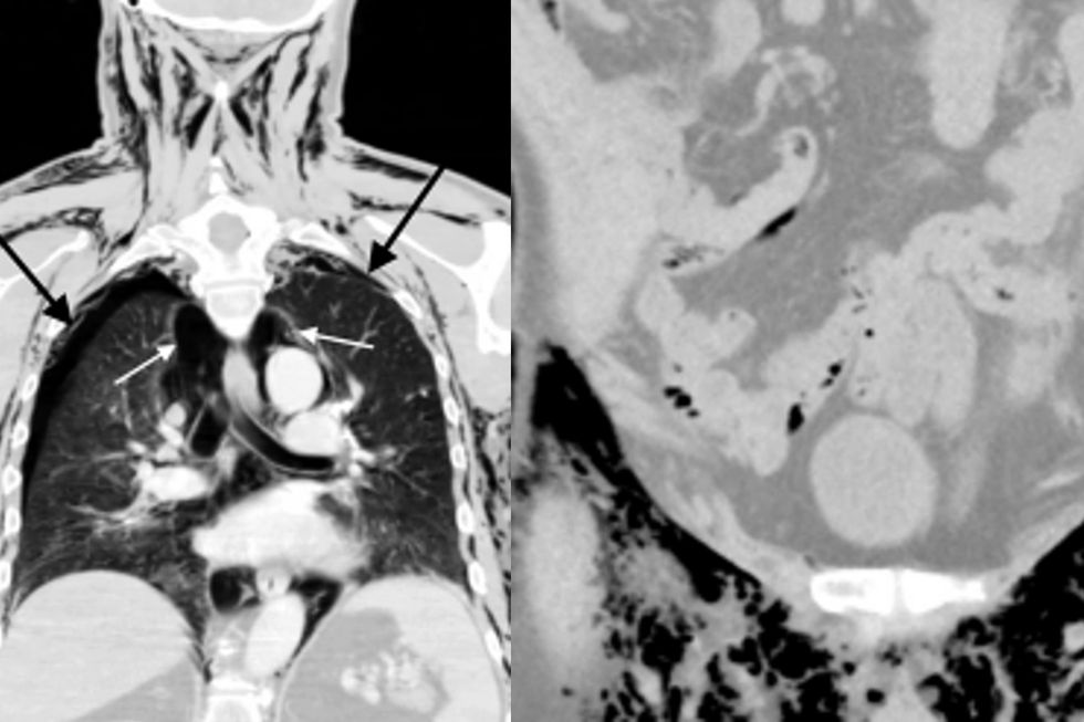
The patient was diagnosed with a rare condition called pneumoscrotum, according to a recent document published in the American Journal of Case Reports. Pneumoscrotum is when "air accumulates in the scrotum", often caused by trauma.
In addition, his X-ray results revealed there was excessive air trapped in his chest, which could have been fatal if untreated.
Medical professionals inserted two plastic tubes into his chest to get rid of the excess air before the man was transferred to another hospital for further treatment.
Due to his condition worsening, he had to have a third tube inserted.
Sign up to our free Indy100 weekly newsletter

He recovered a few days later and was discharged – but the whistling would continue for a further two years, which was described as an "abnormally long time."
"Taking a detailed history of events leading up to the pneumoscrotum is essential since a significant percentage are of iatrogenic or traumatic origin. Our case of pneumoscrotum from suspected spontaneous bilateral pneumothoraces was unusual," they wrote in the report.
"Our patient had an open scrotal wound from a recent scrotal procedure, which allowed the air to escape from his abdominal compartment, and resulted in his concern of 'scrotal whistling'.
"Whether the air escape attenuated the patient's presentation and led to a more favourable outcome will never be known. Nonetheless, he was successfully treated with multiple chest tubes, subcutaneous air drains, and supportive care."
The whistling resulted from an open wound on the left side of his scrotum from an operation five months prior. This left the patient having to require further procedures and eventually having to have both testicles removed.
Have your say in our news democracy. Click the upvote icon at the top of the page to help raise this article through the indy100 rankings.
Top 100
The Conversation (0)














