Greg Evans
Dec 13, 2023

        BMJ Reports
    
A man has managed to tear a hole in his windpipe when attempting to hold in a sneeze, which experts believe is a world first for this kind of injury.
The incident occurred when the man was driving his car when he was suddenly hit with a bout of hay fever. However, rather than letting the sneeze loose or putting a finger under his nose, he instead pinched his nose and closed his mouth.
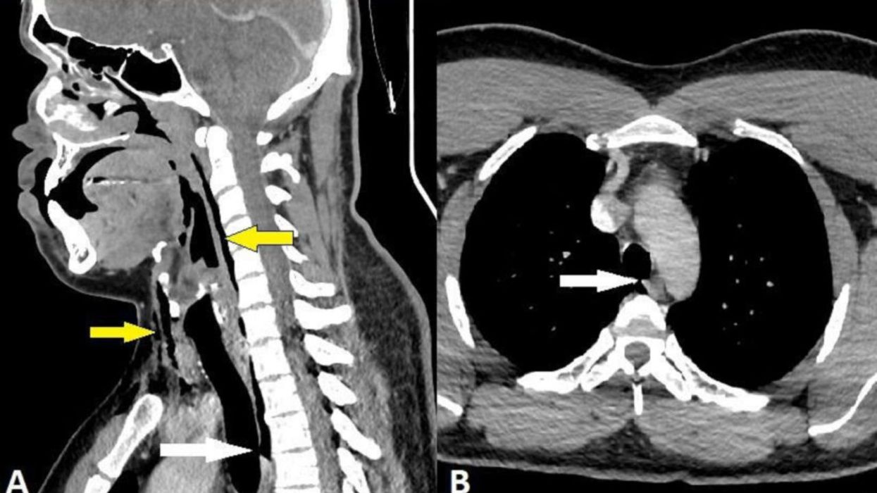
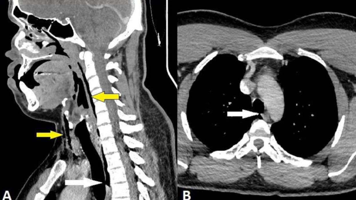
The unorthodox method of stopping the sneeze had pretty dire consequences for the man has the strength of the restrained sneeze opened up a small 2 by 2 millimetre hole in his windpipe.
The nasty injury happened due to the man closing his airways resulting in the pressure generating a sneeze 20 times more powerful than what we would normally experience.
When the man arrived at the hospital both sides of his neck had already swollen causing him severe pain but he could still breathe, swallow and talk without any issues.
After an x-ray, it was discovered that the man had a condition called surgical emphysema, where air can get stuck under the deepest tissue in someone's body. The air had gotten trapped in the vertebrae in the man's neck as well as the space in between his chest and lungs.
Ultimately, it was determined by doctors that the man didn't need surgery and that the tear was caused by a "rapid build-up of pressure in the trachea while sneezing with a pinched nose and closed mouth."
He was kept in the hospital for two days but was eventually discharged with not much more than painkillers and hay fever relief and was also advised to avoid any strenuous physical activity for two weeks.
A study into the incident has been published in BMJ Journals with the authors adding: "Everyone should be advised not to stifle sneezes by pinching the nose while keeping the mouth closed as it can result in tracheal [windpipe] perforation."
Although the man only suffered minor injuries, preventing a sneeze in such a manner can have its consequences. So next time you need to sneeze, just use a tissue.
Sign up to our new free Indy100 weekly newsletter
Have your say in our news democracy. Click the upvote icon at the top of the page to help raise this article through the indy100 rankings.
Top 100
The Conversation (0)













