Becca Monaghan
Aug 05, 2022
Woman nearly dies during orgasm, legs were 'pressed' against her chest
New York Post
The French liken an orgasm to a "little death", la petite mort, which almost came to fruition for one woman when she nearly died during sex.
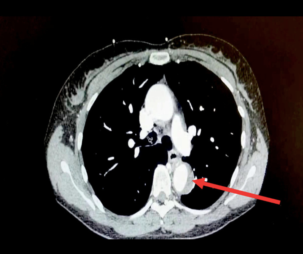
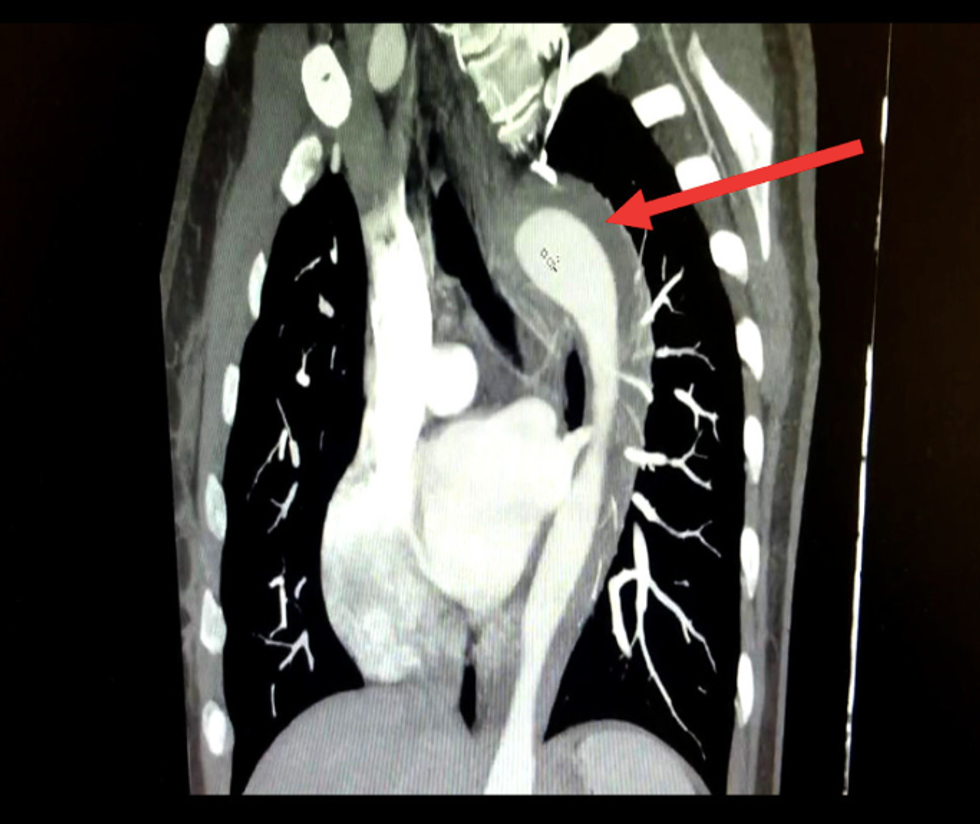
In a medical report published in the American Journal Case Report, an unnamed 45-year-old from Mississippi was rushed to the hospital after experiencing insufferable stabbing sensations in her chest with "10 out of 10" pain levels.
She also became suddenly nauseous and struggled to breathe.
"The patient was having sexual intercourse with her husband, and during her orgasm, she felt a ‘pop’ in her chest with radiation to her back," the case explained. "She stated that her legs were pressed against her chest [during the orgasm]."
Doctors took the woman's vitals, including her blood pressure which read an alarming 220/140 mmHg.
Sign up to our free Indy100 weekly newsletter

"The patient had a past medical history of hypertension and was previously on an unspecified oral medication; however, she had not taken the medication for longer than 1 year," the report added.
She also confirmed her smoking history over the last 17 years, "stating she currently smoked 6 to 7 cigarettes daily."
Medics gave the woman morphine and fentanyl to reduce the pain before confirming she had a leak in her aorta, the largest artery in the body which transports blood.
Medically known as an acute aortic syndrome or AAS, the disease can be severely life-threatening, reports the study. Men have a higher chance of developing AAS, and the peak age of diagnosis is later adulthood, around the age of 65.

If left untreated, an aortic rip can lead to death and has instantly killed 40% of sufferers, says the case.
Have your say in our news democracy. Click the upvote icon at the top of the page to help raise this article through the indy100 rankings.
Top 100
The Conversation (0)














