The Conversation (0)
Viral

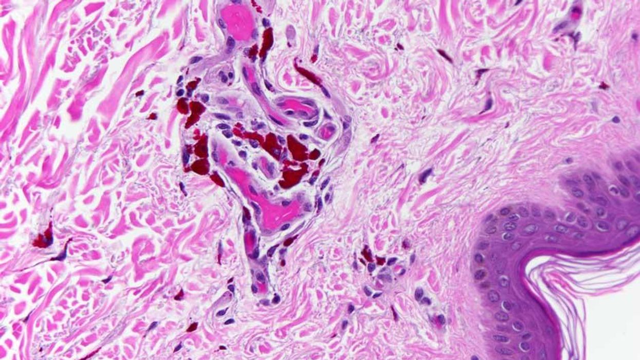
Ever wondered what a tattoo really looks like on your body? Or a gunshot? A new exhibit of microscopic art by pathologist Dr Marianne Hamel and forensic photographer Nikki Johnson, featuring slides of human tissue, aims to show just that.
The work is currently on show at the Mütter Museum of the College of Physicians of Philadelphia and will move to London in March 2015. Here are some of the highlights - note these images are all of dead people.
Death Under Glass will be showing until December 16, and will then move onto Bart's Pathology Museum in March and April 2015. With thanks to Dr Marianne Hamel for permission to use the images.