
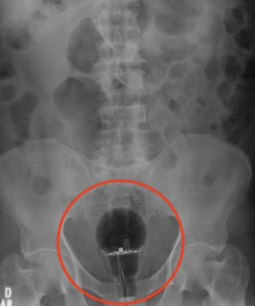
A patient in pain went to the hospital and left doctors stunned when an X-ray showed a lightbulb up his bottom.
Dr Julian Pylori, a gastroenterologist, said the foreign object was not spotted in a normal rectal examination.
But the doctor, who treats digestive disorders, was stunned when the bulb showed up on the X-ray.
It is unclear how doctors removed it from the unnamed 53-year-old patient’s behind.
It happened at a hospital in Colombia.
Sign up to our new free Indy100 weekly newsletter
Dr Pylori said: “Not palpable on rectal examination.
“Foreign body material, unknown.
“Endoscopic removal?”
Dr Keith Siau posted a light bulb emoji and replied: “Sorry I’m out of bright ideas.”
Dr Ikram Tirmizi said: “Seems like a bulb.
“Suction can be applied like that carried out by obstetricians during normal vaginal delivery.”
General practitioner, Jagdish Singh commented: “Looks like a microphone head or a bulb.”
Hector wrote: “He literally had a bright f*cking idea lol.”
Another local remarked: “Impressive the skill and the recklessness to introduce it at the risk of rupture and associated injury.”
Last week in Colombia, a woman who suffered in pain for 11 years was stunned to learn that she had a needle and thread left inside her following a previous operation.
María Aderlinda Forero, 39, gave birth to her fourth child in 2012 and decided to have her fallopian tubes tied to not fall pregnant any more.
However, she began to experience severe pain just days after the tubal ligation procedure.
She ended up living with the painful condition for 11 years before it was discovered that she had a needle and thread left in her body from her sterilisation op.
María is scheduled to have the foreign object removed by a specialist on 12 May.
Have your say in our news democracy. Click the upvote icon at the top of the page to help raise this article through the indy100 rankings.














