Science & Tech
Ellie Abraham
Apr 26, 2022
Martin Roberts shares video after having emergency heart surgery
Video
A man was diagnosed with an extremely rare condition after doctors found his heart had swelled so much it filled in his entire chest cavity.
Experts wrote about the anonymous middle-aged man’s case in the British Medical Journal, explaining that his condition is commonly known as “wall-to-wall” heart and is often caused by Ebstein's anomaly – a heart defect typically found in infants.
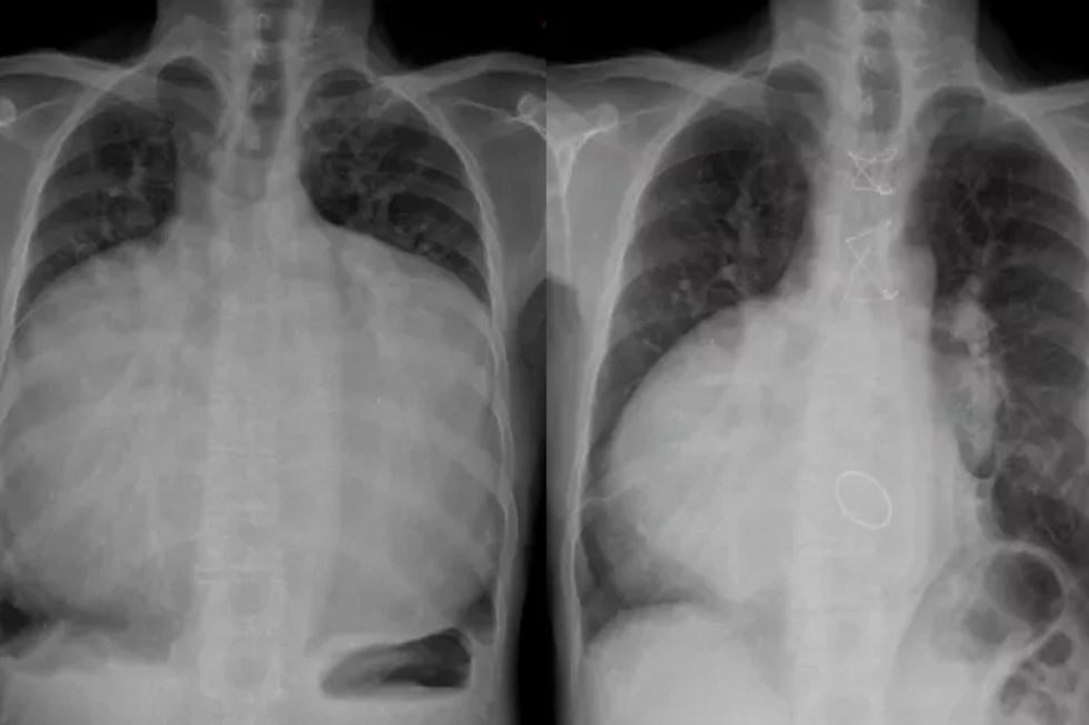
In the journal, doctors explained that it was discovered because the man had breathlessness that lasted for approximately six months.
When doctors performed a chest X-ray, they found “gross cardiomegaly” – essentially an enlarged heart.
A cardiothoracic ratio (CTR), which measures the ratio of the heart and to what extent it fills the chest cavity, was measured. A CTR of 1 revealed that the man’s thoracic cavity was entirely filled by his heart.
Sign up to our new free Indy100 weekly newsletter
Ebstein's anomaly is present at birth and occurs when valves between chambers on the right side of the heart fail to close correctly.

Over time, the flow of blood in the wrong places can cause the heart to enlarge as it has to pump harder. It can cause a weakening of the heart and even heart failure.
The man whose case was referenced in the BMJ underwent surgery, after initially being treated with medications such as beta-blockers, diuretics, anticoagulants and vasodilators.
Doctors corrected an aneurysm on his heart and he was fitted with a mechanical valve. The surgery went as planned and the patient is stable.
In another extremely rare case, it was discovered that a man’s hernia was actually an ovary, cervix and fallopian tube.Have your say in our news democracy. Click the upvote icon at the top of the page to help raise this article through the indy100 rankings.
Top 100
The Conversation (0)














